Domine a interpretação completa do hemograma e destaque-se como referência em hematologia laboratorial





Prepare-se para uma experiência de aprendizado completamente reformulada, desenvolvida pelo renomado Prof. Dr. Luiz Arthur Calheiros – com mais de 20 anos de experiência e autor do Atlas do Sangue Periférico e Doenças Hematológicas.
Para quem é este curso? biomédicos, farmacêuticos, biólogos, médicos e estudantes dessas áreas, que desejam se aperfeiçoar em Hematologia.





Disponibilizamos as gravações completas dos dois maiores congressos de 2024: o JBPL (Jornada Brasileira de Patologia do Laboratório) e o CBHL (Congresso Brasileiro de Hematologia e Laboratório)

Treinamentos Práticos, Online e Ao Vivo, de Leitura de Lâminas e discussão de Casos Clínicos reais.
Estará de plantão? Tudo bem! Esses treinamentos também serão gravados e disponibilizados para você!
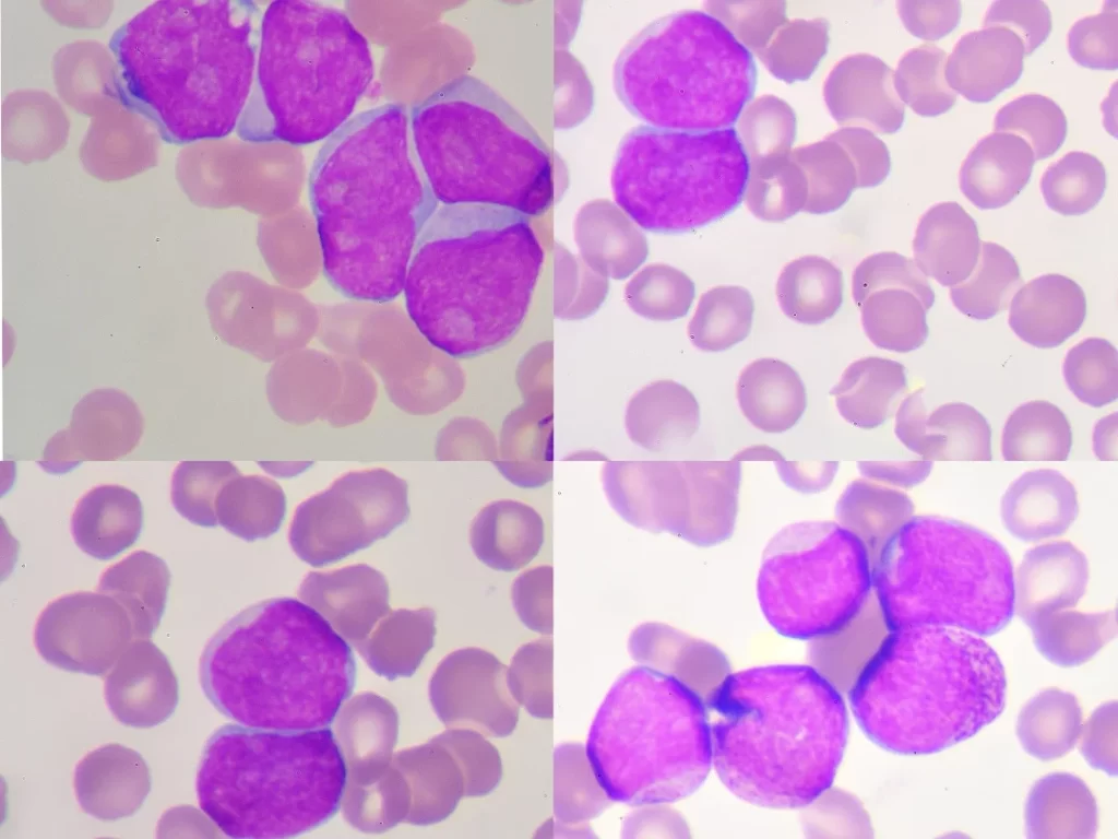
Com microscópio acoplado ao computador, você fará interpretações de diferentes Hemogramas junto com o professor!

Voltado para profissionais do laboratório, tanto de pequeno quanto de grande porte, incluindo biomédicos, farmacêuticos, biólogos e médicos, além de outros profissionais da área da saúde.

Participe do grupo exclusivo de alunos no WhatsApp e tire as dúvidas de seus casos e exames em tempo real, direto com o professor.
12x R$35,00
ou R$357 à vista


Você adquire agora o acesso completo ao Curso de Hematologia Laboratorial na condição especial de R$357 e tem 7 dias para avaliar.
Se por algum motivo você achar que este material não é para você, ou que não vale o investimento, receberá seu dinheiro 100% de volta! Basta enviar uma mensagem para nós dentro do prazo de 7 dias.
Como você pode ver, o risco é todo nosso!

Não perca a oportunidade de transformar sua carreira com o mais completo treinamento em Hematologia Laboratorial do Brasil.
*Oferta especial válida apenas até 31/01/2025 ou até esgotarem as vagas promocionais.

fundada em 2019 pelo Prof. Dr. Luiz Arthur Calheiros Leite, a Escola Brasileira de Hematologia Laboratorial (LaHemato EaD) já compartilhou conhecimento com mais de 7.000 alunos do Brasil e exterior, em mais de 10 diferentes cursos da área laboratorial.