curso
hematologia
laboratorial
com enfoque em Citologia Hematológica
- Acesso as gravações do congresso JBPL 2025 por 90 dias
- Bônus: Aula de Blastos e um Hemograma impecável
- Bônus: Aula de Linfócitos Anômalos e reativos
Garanta sua vaga agora e aproveite condições especiais antes que o prazo acabe.
com enfoque em Citologia Hematológica









Voltado para profissionais que trabalham ou desejam trabalhar em laboratórios, centros de diagnósticos, hospitais e hemocentros, tanto de pequeno quanto de grande porte.
Incluindo: biomédicos, biólogos, farmacêuticos, médicos e estudantes dessas áreas, que desejam se aperfeiçoar em Hematologia.
Capaz de priorizar, interpretar e liberar exames que salvam vidas.
tudo da Hematologia Laboratorial, de forma descomplicada, prática e objetiva. Contemplando Leituras e Revisões de Lâmina com casos de doenças hematológicas benignas (como Anemias e PTI) e malignas (como Leucemias e Linfomas) e muito mais.

- Coleta do material
- Ordem e Análise dos tubos
- Hemólise e Lipemia
- Volume do Tubo e Recoleta
- Erros pré-analíticos

- Prática de Esfregaço Sanguíneo
- Prática de Coloração com May-Grunwald-Giemsa
- Análise da Lâmina por microscopia

- Valores de referência da série vermelha, branca e plaquetas
- Valores de referência em RN, crianças, adultos e idosos.

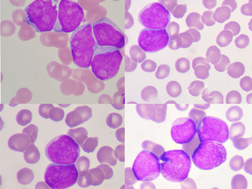
- Leitura de Lâminas com morfologia de células normais e anormais do sangue
- Casos clínicos reais com dados do hemograma, leitura de lâminas com contagem de células (01 a 100)
- Diferenciação prática das células do sangue

- Eritropoese e Hemácias
- Anemias: conceito, tipos, sintomas e parâmetros
- Eritrograma: detectando a anemia
- Morfologia Eritrocitária
- Anemia Ferropriva
- Anemia megaloblástica
- Anemia Normocítica
- Anemias Hemolíticas e Reticulócitos
- Anemia Falciforme
- Talassemias
- Outras Anemias Hemolíticas

- Introdução aos Leucócitos
- Neutrófilos
- Linfócitos
- Eosinófilos
- Monócitos
- Basófilos

- O que são e como são formadas
- Plaquetograma
- Plaquetopenia
- Contagem de Plaqueta na Prática
- Pseudoplaquetopenia e Medidas Corretivas
- Trombocitose

- Introdução às Neoplasias Hematológicas
- Leucemias Agudas - Conceito, Clínica e Diagnóstico
- LMA: hemograma, morfologia e casos clínicos
- LLA: hemograma, morfologia e casos clínicos
- LMC: hemograma, morfologia e casos clínicos
- Neoplasias Mieloproliferativas: hemograma, morfologia e casos clínicos
- LLC / Neoplasias Linfoproliferativas: hemograma, morfologia e casos clínicos
- Linfomas: hemograma, morfologia e casos clínicos
- Morfologia das Leucemias Agudas
- Morfologia na Doenças Mielóides Crônicas
- Morfologia na Doenças Linfóides

- Base da Automação em hematologia
- Eritrócitos
- Leucócitos
- Equipamentos Hematológicos
- Critérios de Revisão

- Fisiologia da Coagulação
- Trombose
- Laboratório e Coagulação
- Anticoagulação
- CIVD e Caso Clínico

- Introdução à Imuno-Hematologia
- Sistema ABO
- Sistema Rh

Casos clínicos com hemograma e morfologia de doenças como:
- Anemia Falciforme
- Púrpuras
- Leucemia Promielocítica
- Mononucleose com Linfócitos Reativos
- Talassemia
- Trombocitemia essencial
- LMA, LLA, LMC, LLC
- Eliptocitose hereditária
- Anomalia de Pelger Huet
- Linfomas
- e muito mais!




Participe do grupo exclusivo de alunos no WhatsApp e tire as dúvidas de seus casos e exames em tempo real, direto com o professor.
Treinamentos Práticos, Online e Ao Vivo, de Leitura de Lâminas e discussão de Casos Clínicos reais.
Estará de plantão? Tudo bem! Esses treinamentos também serão gravados e disponibilizados para você!
Com microscópio acoplado ao computador, você fará interpretações de diferentes Hemogramas junto com o professor!


Tenha acesso às gravações do JBPL 2025 por 90 dias.
Voltado para profissionais do laboratório, tanto de pequeno quanto de grande porte, incluindo biomédicos, farmacêuticos, biólogos e médicos, além de outros profissionais da área da saúde.


Você adquire agora o acesso completo ao Curso de Hematologia Laboratorial na condição especial de R$597 e tem 7 dias para avaliar.
Se por algum motivo você achar que este material não é para você, ou que não vale o investimento, receberá seu dinheiro 100% de volta! Basta enviar uma mensagem para nós dentro do prazo de 7 dias.
Como você pode ver, o risco é todo nosso!
Sim! Você pode acessar o curso em qualquer lugar do mundo, em todos os dispositivos: celular, computador, TV ou tablet.
Sim! Assim que você finaliza o curso, recebe o certificado de 40 horas automaticamente em seu email.
Você tem 12 meses para fazer o curso, ver e rever as aulas quantas vezes quiser!
Sim!!! Utilizando o recurso da Tele Hematologia, vamos fazer leituras de lâminas na prática com vocês, com diversos casos clínicos reais!
Se você comprar e, por qualquer motivo, quiser cancelar, receberá seu dinheiro 100% de volta!
Basta solicitar o reembolso dentro do prazo de 7 dias e devolvemos seu dinheiro o mais rápido possível!
Os treinamentos vão acontecer 1 vez por mês, normalmente à noite. Combinamos as datas com vocês no grupo exclusivo de alunos.

fundada em 2019 pelo Prof. Dr. Luiz Arthur Calheiros Leite, a Escola Brasileira de Hematologia Laboratorial (LaHemato EaD) já compartilhou conhecimento com mais de 7.000 alunos do Brasil e exterior, em mais de 10 diferentes cursos da área laboratorial.