Hemograma nas Leucemias Agudas

Treinamento Online e Ao Vivo
16 de Fevereiro 2023

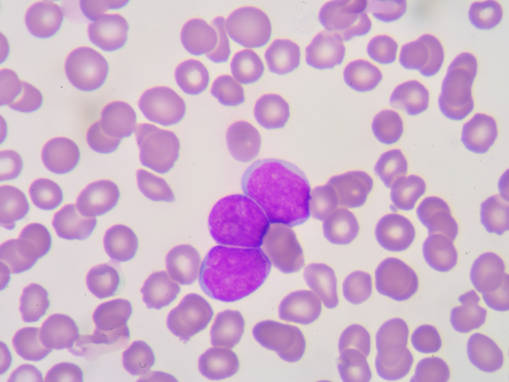
Leucócitos >50.000, Anemia, Células Imaturas, Citoplasma basofílico...
E agora? Leucemia Aguda ou Sepse? O que fazer?

Hemogramas assim são temidos todos os dias no laboratório e muitos analistas erram! Não seja mais um deles!

Domine o Hemograma de Leucemias Agudas

Online e Ao Vivo

16 de Fevereiro
às 19:00

para Profissionais

biomédicos, biólogos, farmacêuticos, médicos e estudantes dessas áreas

Certificado

com certificado de participação a todos os alunos

Sorteio de Vaga

O valor desse curso é R$97, você pode comprar seu ingresso ou participar do sorteio e concorrer a uma vaga!

Nessa aula você vai aprender

tudo sobre as Leucemias Agudas e se destacar no laboratório!

Conceitos das Leucemias Agudas

Aspectos Clínicos e Laboratoriais

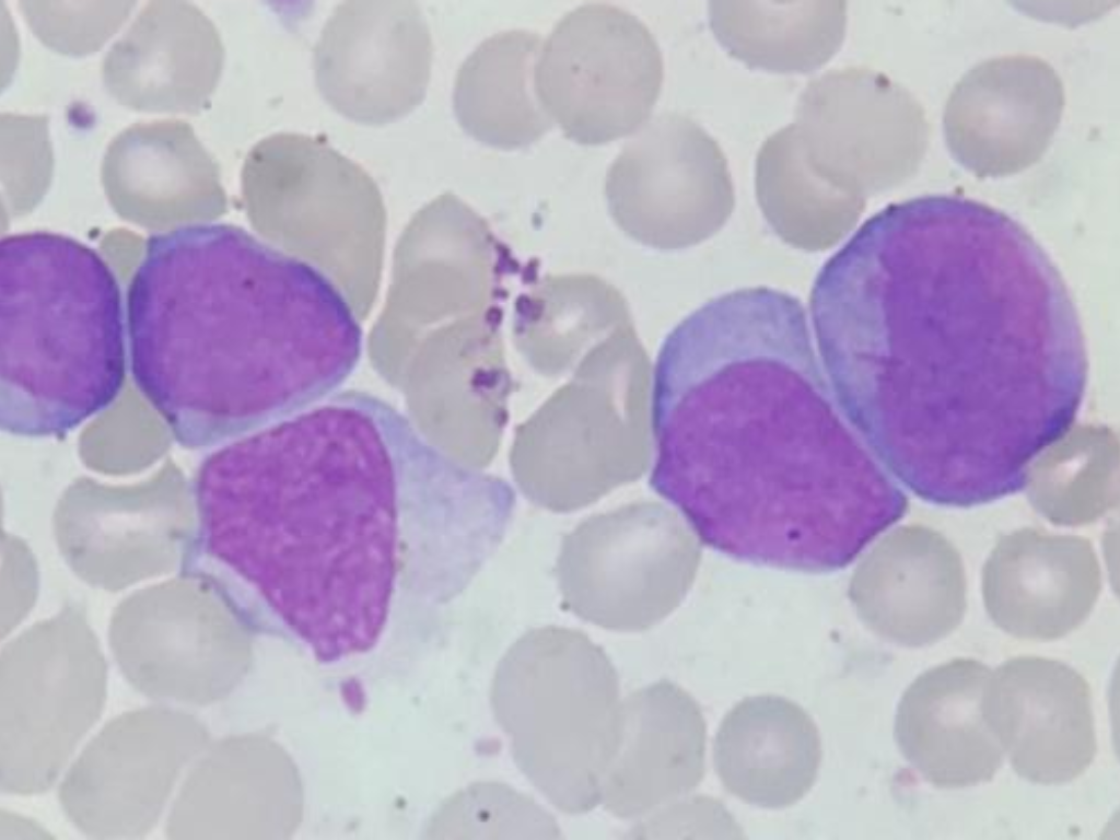
Citologia dos Promonócitos

Citologia dos Promielócitos

Citologia dos Blastos

Mieloblastos, Monoblastos e Linfoblastos

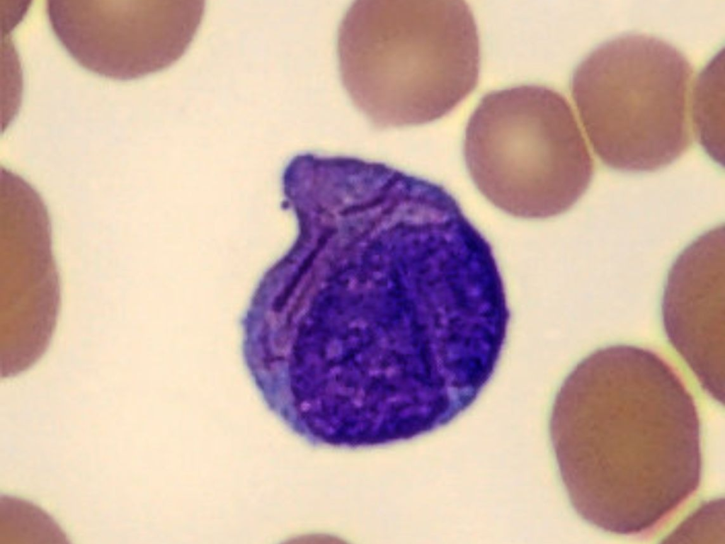
Morfologia

como diferenciar cromatinas, núcleos, nucléolos e bastonetes de Auer

Perfil do Hemograma na LLA

Perfil do Hemograma na LMA

Tríade Leucêmica

os erros mais comuns

Gráficos

como suspeitar de uma Leucemia Aguda

Laudos

como contar e relatar as células leucêmicas

Emergências Médicas

como liberar hemogramas de alto risco

Seu professor será

Prof. Dr. Luiz Arthur Calheiros

Inscrições

O valor desse curso é R$97, que pode ser parcelado em até 12 meses.
Para que dinheiro não seja um problema, decidimos sortear algumas vagas.

Sobre o Sorteio

Para concorrer a uma vaga, preencha o formulário abaixo. Caso você seja sorteado, entraremos em contato.

Conhecimento Hematológico ao Seu Alcance

fundada em 2019 pelo Prof. Dr. Luiz Arthur Calheiros Leite, a Escola Brasileira de Hematologia Laboratorial (LaHemato EaD) já compartilhou conhecimento com mais de 5.000 alunos do Brasil e exterior, em mais de 10 diferentes cursos da área laboratorial.