Aprenda a identificar com segurança células anormais em 13 tipos de linfomas, leucemias agudas e crônicas através de casos reais, com suporte especializado em cada análise

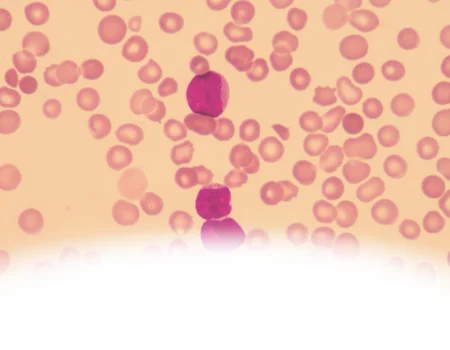
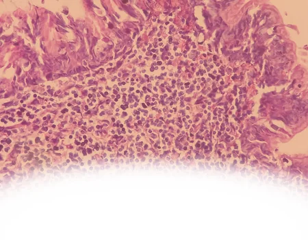
Em um cenário onde cada laudo pode impactar diretamente a conduta terapêutica, sua capacidade de identificar com precisão células anormais faz toda a diferença. Mas a realidade é que mesmo profissionais experientes enfrentam desafios diante de casos complexos de leucemias e linfomas.
O que aconteceria se você pudesse ter ao seu lado, durante 8 aulas intensivas, um especialista em morfologia hematológica, analisando casos reais e recebendo feedback instantâneo sobre cada identificação?
Como ter mais segurança na diferenciação morfológica entre LMA e LLA em casos desafiadores?
Como garantir que sua identificação de células anormais está realmente precisa?
O que fazer quando se depara com morfologias atípicas que não se encaixam nos padrões usuais?
Como lidar com a responsabilidade de liberar laudos que impactam diretamente a conduta terapêutica?"
Uma experiência de aprendizado única que combina:




26 aulas objetivas e práticas divididas em módulos essenciais:








Garantia de 7 dias ou seu dinheiro de volta Se após a primeira semana de curso você não estiver completamente satisfeito com o conteúdo e a metodologia, devolvemos 100% do seu investimento, sem questionamentos.

Sim! Você recebe certificado de 40 horas reconhecido por instituições de ensino e empregadores.
Absolutamente! O curso foi estruturado para criar uma base sólida, independente do seu nível atual.
Todas as aulas são gravadas e disponibilizadas em até 24h, e você ainda pode tirar dúvidas diretamente com o professor pelo WhatsApp.
MLL 2025 © Todos os direitos reservados
Preencha seus dados abaixo e inicie sua jornada rumo à excelência em morfologia hematológica!